

货号
产品规格
售价
备注
BN41554R-50ul
50ul
¥1486.00
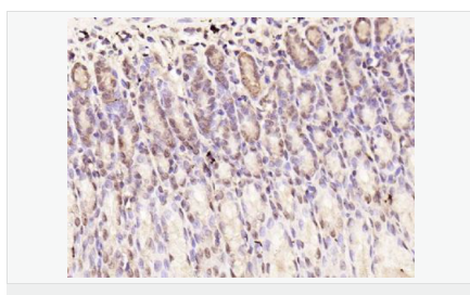
交叉反应:Rat,Mouse,Human(predicted:Cow,Pig) 推荐应用:WB,IHC-P,IHC-F,ICC,IF,Flow-Cyt,ELISA
BN41554R-100ul
100ul
¥2360.00
交叉反应:Rat,Mouse,Human(predicted:Cow,Pig) 推荐应用:WB,IHC-P,IHC-F,ICC,IF,Flow-Cyt,ELISA
BN41554R-200ul
200ul
¥3490.00
交叉反应:Rat,Mouse,Human(predicted:Cow,Pig) 推荐应用:WB,IHC-P,IHC-F,ICC,IF,Flow-Cyt,ELISA
产品描述
| 英文名称 | MADH7/Smad7 |
| 中文名称 | Smad7抗体 |
| 别 名 | hSMAD 7; hSMAD7; MAD (mothers against decapentaplegic Drosophila) homolog 7; MAD; Mad homolog 7; MAD mothers against decapentaplegic homolog 7; MADH 7; MADH 8; MADH8; Mothers Against Decapentaplegic Drosophila Homolog of 7; Mothers against decapentaplegic homolog 7; Mothers against decapentaplegic homolog 8; Mothers against DPP homolog 7; Mothers against DPP homolog 8; SMA- AND MAD-RELATED PROTEIN 7; SMAD 7; SMAD; SMAD family member 7; SMAD, mothers against DPP homolog 7 (Drosophila); SMAD, mothers against DPP homolog 7; Smad7; SMAD7_HUMAN. |
| 研究领域 | 肿瘤 细胞生物 信号转导 细胞凋亡 生长因子和激素 激酶和磷酸酶 |
| 抗体来源 | Rabbit |
| 克隆类型 | Polyclonal |
| 交叉反应 | Human, Mouse, Rat, (predicted: Pig, Cow, ) |
| 产品应用 | WB=1:500-2000 ELISA=1:5000-10000 IHC-P=1:100-500 IHC-F=1:100-500 Flow-Cyt=1ug/Test IF=1:100-500 (石蜡切片需做抗原修复) not yet tested in other applications. optimal dilutions/concentrations should be determined by the end user. |
| 分 子 量 | 46kDa |
| 细胞定位 | 细胞核 细胞浆 |
| 性 状 | Liquid |
| 浓 度 | 1mg/ml |
| 免 疫 原 | KLH conjugated synthetic peptide derived from human Smad7:1-100/426 |
| 亚 型 | IgG |
| 纯化方法 | affinity purified by Protein A |
| 储 存 液 | 0.01M TBS(pH7.4) with 1% BSA, 0.03% Proclin300 and 50% Glycerol. |
| 保存条件 | Shipped at 4℃. Store at -20 °C for one year. Avoid repeated freeze/thaw cycles. |
| PubMed | PubMed |
| 产品介绍 | The protein encoded by this gene is a nuclear protein that binds the E3 ubiquitin ligase SMURF2. Upon binding, this complex translocates to the cytoplasm, where it interacts with TGF-beta receptor type-1 (TGFBR1), leading to the degradation of both the encoded protein and TGFBR1. Expression of this gene is induced by TGFBR1. Variations in this gene are a cause of susceptibility to colorectal cancer type 3 (CRCS3). Several transcript variants encoding different isoforms have been found for this gene. [provided by RefSeq, Jun 2010] Function: Antagonist of signaling by TGF-beta (transforming growth factor) type 1 receptor superfamily members; has been shown to inhibit TGF-beta (Transforming growth factor) and activin signaling by associating with their receptors thus preventing SMAD2 access. Functions as an adapter to recruit SMURF2 to the TGF-beta receptor complex. Also acts by recruiting the PPP1R15A-PP1 complex to TGFBR1, which promotes its dephosphorylation. Positively regulates PDPK1 kinase activity by stimulating its dissociation from the 14-3-3 protein YWHAQ which acts as a negative regulator. Subunit: Interacts with WWP1. Interacts with COPS5. Interacts with NEDD4L. Interacts with STAMBP. Interacts with RNF111, AXIN1 and AXIN2. Interacts with PPP1R15A. Interacts (via MH2 domain) with EP300. Interacts with ACVR1B, SMURF1, SMURF2 and TGFBR1; SMAD7 recruits SMURF1 and SMURF2 to the TGF-beta receptor and regulates its degradation. Interacts with PDPK1 (via PH domain). Subcellular Location: Nucleus. Cytoplasm. Note=Interaction with NEDD4L or RNF111 or induces translocation from the nucleus to the cytoplasm. TGF-beta stimulates its translocation from the nucleus to the cytoplasm. PDPK1 inhibits its translocation from the nucleus to the cytoplasm in response to TGF-beta. Tissue Specificity: Ubiquitous with higher expression in the lung and vascular endothelium. Post-translational modifications: Phosphorylation on Ser-249 does not affect its stability, nuclear localization or inhibitory function in TGFB signaling; however it affects its ability to regulate transcription. Phosphorylated by PDPK1. Ubiquitinated by WWP1 (By similarity). Polyubiquitinated by RNF111, which is enhanced by AXIN1 and promotes proteasomal degradation. In response to TGF-beta, ubiquitinated by SMURF1; which promotes its degradation. Acetylation prevents ubiquitination and degradation mediated by SMURF1. DISEASE: Genetic variations in SMAD7 influence susceptibility to colorectal cancer type 3 (CRCS3) [MIM:612229]. Colorectal cancer consists of tumors or cancer of either the colon or rectum or both. Cancers of the large intestine are the second most common form of cancer found in males and females. Symptoms include rectal bleeding, occult blood in stools, bowel obstruction and weight loss. Treatment is based largely on the extent of cancer penetration into the intestinal wall. Surgical cures are possible if the malignancy is confined to the intestine. Risk can be reduced when following a diet which is low in fat and high in fiber. Similarity: Belongs to the dwarfin/SMAD family. Contains 1 MH1 (MAD homology 1) domain. Contains 1 MH2 (MAD homology 2) domain. SWISS: O15105 Gene ID: 4092 Database links: Entrez Gene: 4092 Human Entrez Gene: 17131 Mouse Omim: 602932 Human SwissProt: O15105 Human SwissProt: O35253 Mouse Unigene: 465087 Human Important Note: This product as supplied is intended for research use only, not for use in human, therapeutic or diagnostic applications. 转录调节因子(Transcriptin Regulators) Smad7是转化生长因子(TGF-β)信号通路的抑制分子,Smad7可干预MAPK信号通路,使ERK和JNK磷酸化活性的平衡失调,导致促增殖作用强于生长抑制作用,从而有助于细胞向恶性方向发展。 |











