

货号
产品规格
售价
备注
BN40574R-100ul
100ul
¥2360.00
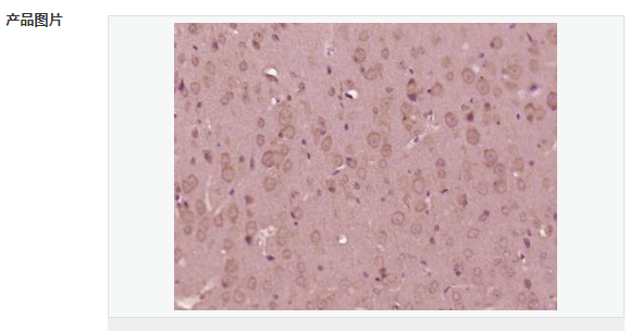
交叉反应:Mouse(predicted:Human,Rat,Cow,Horse,Rabbit,Sheep) 推荐应用:IHC-P,IHC-F,ICC,IF,ELISA
BN40574R-200ul
200ul
¥3490.00
交叉反应:Mouse(predicted:Human,Rat,Cow,Horse,Rabbit,Sheep) 推荐应用:IHC-P,IHC-F,ICC,IF,ELISA
产品描述
| 英文名称 | RBM25 |
| 中文名称 | RNA结合蛋白25抗体 |
| 别 名 | Arg/Glu/Asp rich protein, 120 kDa; Arg/Glu/Asp-rich protein of 120 kDa; fSAP94; functional spliceosome-associated protein 94; NET52; Protein S164; Rbm25; RBM25_HUMAN; RED120; RNA binding motif protein 25; RNA binding region (RNP1, RRM) containing 7; RNA-binding motif protein 25; RNA-binding protein 25; RNA-binding region-containing protein 7; RNPC7; S164; Snu71; U1 small nuclear ribonucleoprotein 1SNRP homolog. |
| 研究领域 | 细胞生物 转录调节因子 结合蛋白 表观遗传学 |
| 抗体来源 | Rabbit |
| 克隆类型 | Polyclonal |
| 交叉反应 | Mouse, (predicted: Human, Rat, Cow, Horse, Rabbit, Sheep, ) |
| 产品应用 | ELISA=1:5000-10000 IHC-P=1:100-500 IHC-F=1:100-500 ICC=1:100-500 IF=1:100-500 (石蜡切片需做抗原修复) not yet tested in other applications. optimal dilutions/concentrations should be determined by the end user. |
| 分 子 量 | 100kDa |
| 细胞定位 | 细胞核 细胞浆 |
| 性 状 | Liquid |
| 浓 度 | 1mg/ml |
| 免 疫 原 | KLH conjugated synthetic peptide derived from human RBM25:671-770/843 |
| 亚 型 | IgG |
| 纯化方法 | affinity purified by Protein A |
| 储 存 液 | 0.01M TBS(pH7.4) with 1% BSA, 0.03% Proclin300 and 50% Glycerol. |
| 保存条件 | Shipped at 4℃. Store at -20 °C for one year. Avoid repeated freeze/thaw cycles. |
| PubMed | PubMed |
